Implantes Dentales Oseointegrados

Implantes Dentales Oseointegrados

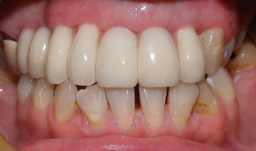
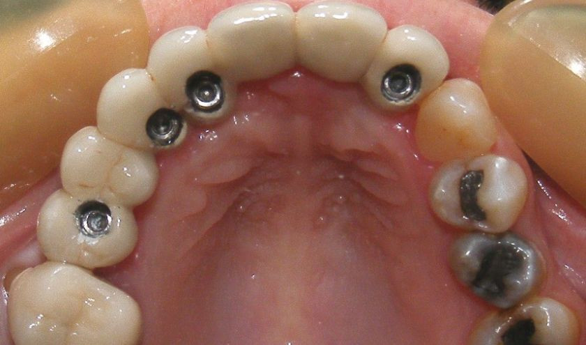
Los Implantes Dentales Oseointegrados son una alternativa de tratamiento que nos permite reponer piezas dentarias perdidas en forma fija, mejorando la calidad de vida de las personas porque les devuelve la autoestima.

Volver