Implantología Dental

Implantología Dental

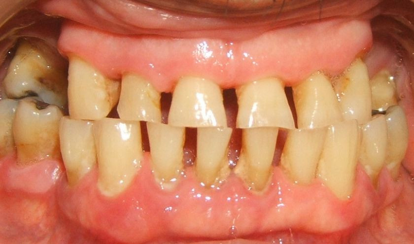
La perdida de las piezas dentales afecta directamente la Calidad de Vida de las personas, tiene una repercusión trascendental en la autoestima de muchos pacientes. Actualmente, los implantes dentales han producido una revolución en la odontología moderna, pero requieren de una implementación acorde a la complejidad del procedimiento, siendo un dato no menor que el profesional cuente con la capacitación respectiva. 

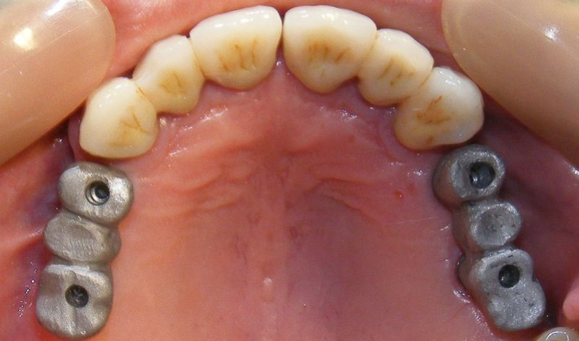
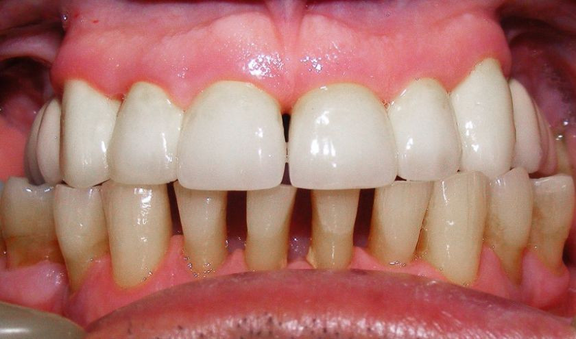
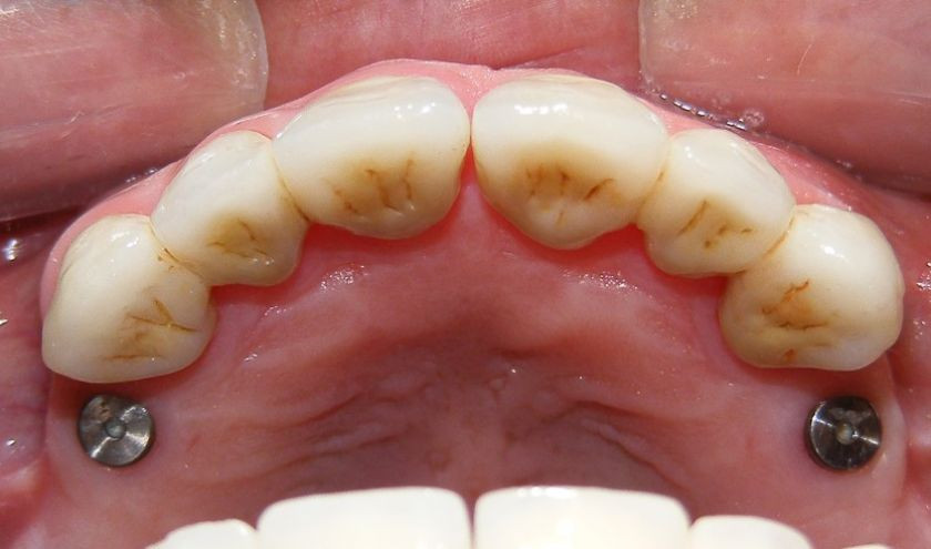
En CLINICA DIAZ estamos realizando todo el proceso de rehabilitación mediante un FLUJO DIGITAL, en la que se planifica la Cirugía mediante un software que utiliza una imagen del hueso en 3D y una imagen de la mucosa digitalizada, que genera una Guía Quirúrgica para colocar los implantes en la posición y profundidad ideal, una vez oseointegrado el implante se realiza una impresión digital con un escáner intraoral, y se fabrica la restauración con una fresadora robotizada desde un bloque de zirconio, Sistema CAD CAM, que se atornilla mediante pilares de Titanio o TBASE a los implantes. Se obtienen mejores ajustes y con materiales más biocompatibles, lo que mejora el pronóstico de la rehabilitación.

Volver